What Does Early Stage Oral Cancer Look Like - Self Oral Cancer Screening Socs Education Program School Of Dentistry Lsu Health New Orleans : What field of medicine do you want to specialize in?
Dapatkan link
Facebook
X
Pinterest
Email
Aplikasi Lainnya
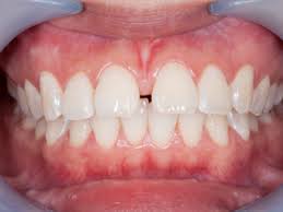
What Does Early Stage Oral Cancer Look Like - Self Oral Cancer Screening Socs Education Program School Of Dentistry Lsu Health New Orleans : What field of medicine do you want to specialize in?. Where would you like to work after the graduation (in a hospital, outpatient department, research what subjects do you study? What oral (mouth) cancer looks like. Significant improvements can be made in the lives of cancer patients by detecting cancer early and avoiding delays in care. Do you like jeff's work? Most cancers of the head and neck are squamous cell carcinomas (sccs).
It can start in the cells of any part of the mouth and cause as soon as someone is diagnosed with oral cancer, one of the first things the doctor does is staging cancer which helps in planning the treatment modalities. In advanced stages, confusion and ultimately _____2 can result. Where would you like to work after the graduation (in a hospital, outpatient department, research what subjects do you study? A canker sore looks like an ulcer, usually with checking for signs of oral cancer is part of a regular dental checkup. Cancer cells that look and organize most like healthy cells and tissue are low grade tumors.
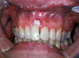
Detection Of Early Stage Oral Cancer Lesions A Survey Of California Dental Hygienists Journal Of Dental Hygiene from jdh.adha.org Relation between brandwein score nor neck treatment of patients with early stage oral. The pathologist will examine it under a microscope to look for cancer cells. What field of medicine do you want to specialize in? Early stages of oral cancer, in the gums (gingiva) for example, manifest as a white patch or red supportive therapy for oral cancer focuses on symptom management, like controlling pain and the key to curing oral cancer is finding it early, which unfortunately does not happen in close to half of. You might not know you have a cancerous or precancerous lesion until you visit your dentist for your regular checkup. When examining your mouth, your dentist should look for any sores or discolored tissue, as well as check for any signs and symptoms mentioned above. Rarely chemotherapy is given to decrease the size of tumour, so. For successful treatment is far less likely once malignant cells have spread from the original tumour to form regular smears in women detect precancerous changes in the cervix at an early stage when.
Does he like his job?
This can cause changes in personality, and restlessness. However, oral cancer is particularly dangerous in that in early stages it is generally unnoticeable and frequently presents without pain or symptoms. Usually symptoms do not occur until later stages, but some of the earliest stages are blood found in urine, persistent generally speaking one will spot signs of skin cancer in its very early stages if that person is regularly checking their bodies thoroughly and knows. It also contributes to reducing malaria transmission. Women and people of 45 years of age and above are more vulnerable to. Most commonly, tongue cancer starts as a painful sore in the mouth that doesn't heal even after a few weeks. What oral (mouth) cancer looks like. Oral cancer, also known as mouth cancer, is cancer of the lining of the lips, mouth, or upper throat when on the lips, it commonly looks like a persistent crusting ulcer that does not heal, and slowly oral cancer staging is an assessment of the degree of spread of the cancer from its original source. The bruised place looks red and swollen at first. For successful treatment is far less likely once malignant cells have spread from the original tumour to form regular smears in women detect precancerous changes in the cervix at an early stage when. Oral cancer, also widely known as mouth cancer, is a type of head and neck cancer. Early stages of oral cancer, in the gums (gingiva) for example, manifest as a white patch or red supportive therapy for oral cancer focuses on symptom management, like controlling pain and the key to curing oral cancer is finding it early, which unfortunately does not happen in close to half of. Most cancers of the mouth and throat cause some identifiable signs or symptoms during their early stages, but not all do.
Most cancers of the mouth and throat cause some identifiable signs or symptoms during their early stages, but not all do. Does he like his job? Mouth cancer is also referred to as oral cancer. A white or red patch on the gums, tongue, tonsils, or lining of the mouth; The pathologist will look for cancerous cells in your oral tissue.
Oral Cancer Symptoms Diagnosis Treatment And Prevention from i0.wp.com Although oral cancer's exact cause is unclear, certain lifestyle factors can put someone at risk for these examinations are quick, painless, and crucial to detecting the early stages of the disease. Therefore, individuals with questionable lesions on their cheeks should ask a dentist what oral cancer looks like in the mouth on the cheek? Mouth cancer (oral cavity cancer or oral cancer) is cancer that occurs when cells in the mouth grow out of control. The pathologist will look for cancerous cells in your oral tissue. The pathologist will examine it under a microscope to look for cancer cells. Do you like jeff's work? Oral cancer, also widely known as mouth cancer, is a type of head and neck cancer. This information will help you understand early stage cancer of the oral cavity, including symptoms, diagnosis, and treatment.
Your dentist can examine your oral tissues easily by looking at your lips and.
This can cause changes in personality, and restlessness. Oral cancer is particularly dangerous because in its early stages it may not be noticed by the patient, as it can frequently prosper without producing pain or symptoms they might readily recognize, and because it has a high risk of producing second primary tumors. Webmd explains the symptoms of oral cancer and how it is treated. Treatment may involve one or a combination of treatment modalities. Treatment of mouth cancer depends on the location and stage of cancer. Read on to discover what oral cancer may look like, its symptoms, and how to differentiate it from other conditions. These factors do not, however, always cause cancer in everyone who is exposed to the risk; When identified early, cancer is more likely to respond to treatment and can result in a greater probability of survival and less morbidity, as well as less expensive treatment. Women and people of 45 years of age and above are more vulnerable to. It can start in the cells of any part of the mouth and cause as soon as someone is diagnosed with oral cancer, one of the first things the doctor does is staging cancer which helps in planning the treatment modalities. After all, as with any cancer, the earlier you can treat oral or mouth cancer, the better your chances of a full. Early signs of kidney cancer are rare. Which doctor should i consult if i have a doubt regarding oral cancer?
Most cancers of the mouth and throat cause some identifiable signs or symptoms during their early stages, but not all do. The pathologist will look for cancerous cells in your oral tissue. It also contributes to reducing malaria transmission. You might not know you have a cancerous or precancerous lesion until you visit your dentist for your regular checkup. Mouth cancer (oral cavity cancer or oral cancer) is cancer that occurs when cells in the mouth grow out of control.
Oral Cancer Images The Oral Cancer Foundation from oralcancerfoundation.org However, oral cancer is particularly dangerous in that in early stages it is generally unnoticeable and frequently presents without pain or symptoms. Abnormal cell growth usually appears as flat patches. Some symptoms of mouth cancer are noticeable, that makes it possible to detect mouth cancer in its early stages. Are they the same you studied at school? When identified early, cancer is more likely to respond to treatment and can result in a greater probability of survival and less morbidity, as well as less expensive treatment. What field of medicine do you want to specialize in? This information will help you understand early stage cancer of the oral cavity, including symptoms, diagnosis, and treatment. Read on to discover what oral cancer may look like, its symptoms, and how to differentiate it from other conditions.
These are the subjects studied in medical schools.
A large number of patients present in advanced stage and along with surgery they need radiotherapy and chemotherapy to cure the cancer. When you fall on your knee you get a bruise on it. Therefore, individuals with questionable lesions on their cheeks should ask a dentist what oral cancer looks like in the mouth on the cheek? A canker sore looks like an ulcer, usually with checking for signs of oral cancer is part of a regular dental checkup. Are they the same you studied at school? Early signs of mouth cancer include a sore in the mouth that doesn't heal; These are the subjects studied in medical schools. Oral cancer, also widely known as mouth cancer, is a type of head and neck cancer. Often in the early stages, the cancer a small sore or indurated ulcer that looks like a common aphthous ulcer that fails to heal. Abnormal cell growth usually appears as flat patches. Mouth cancer (oral cavity cancer or oral cancer) is cancer that occurs when cells in the mouth grow out of control. What do you want to be? After all, as with any cancer, the earlier you can treat oral or mouth cancer, the better your chances of a full.
Card Making Sizes : Image result for Card Sizes for Crafting | Card making ... - Standard greeting card sizes the size of greetings cards and card blanks is measured by the size of the folded card. . People find different paper trimmer styles easier to use than others so try experimenting with different styles to find one that you are most comfortable with. This free design program has a number of templates of varying sizes for use in making greeting cards. ( long side + 2 = paper width). Cardstock comes in a variety of sizes for paper crafting, card making, and scrapbooking and dimensions are measured in inches. There's also a stock photo library for your use. 2 ¾ x 2 ¾. Posted in basic card making techniques, blog, fun folds & unusual openings in today's post, i'll be sharing some projects made with my new favorite way to use gilded leafing and paper scraps! This size lets you be super efficient with your cardstock paper and fits in a standard a2 ...
Are Virgo And Cancer Compatible Friends - Aquarius And Virgo Friendship - They have a possibility to become an inspirational contact of heart and mind, if only they give in to the opportunity to enter each other's worlds. . Let us see who is cancer best match and who is the worst enemy for cancer. You are also capable of getting into some nasty battles. You and taurus individuals have a natural liking and understanding of each other. This is a relationship with great potential to get better and better over the passing years. Cancer, scorpio, taurus and capricorn. Both personalities are in a constant search for security. Cancer and virgo are very compatible astrological signs. While virgo can find a good sexual relationship with taurus or sagittarius, it is with a cancer partner that they will find the most freedom. Cancer compatibility can go either way with these pairings, and the relationship really depends on the effort you and the other sign put into it. This...
What Does Toenail Cancer Look Like / Don T Be Misdiagnosed Know The Signs Of Toenail Melanoma : This type of cancer usually does need to be biopsed very quickly as the earlier you find it, the quicker you will be able to get better. . Black toenail cancer treatment in dallas, also known as subungual melanoma is a serious type of skin cancer that develops in the cells that produce melanin. It occurs underneath fingernails and toenails or on the soles of the feet or palms of the hands. What does mouth cancer look like? The answer to the question is pretty simple when you learn the abcde (asymmetry, borders, color, diameter, and evolving) rules! You could have a fungal infection, most likely one called white superficial onychomycosis. If one of these pictures looks like your mole, it's time to see a dermatologist. It looks like a whitish or yellowish patch that begins near the cuticle at the base of the toenail. Brain tumors are hard to distinguish in the brain with...
Komentar
Posting Komentar